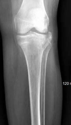
A 63-year-old patient sustained a bicondylar tibial plateau fracture following aground level fall. The patient had an extensive past medical history significant for possible rheumatoid arthritis, hepatitis, CAD, right heart dysfunction, and morbid obesity. CT revealed lateral joint depression and a widening fracture in the metaphysis that indicated significant osteoporosis and medial column instability. Fixation of the medial column was essential to avoiding failure of a lateral only construct; medial wound complications were a significant concern.Following placement of a femoral distractor, the IlluminOss flexible balloon was inserted through the lateral side, running proximal through the intramedullary space to the subcondylar bone medially. The balloon was filled with liquid monomer and cured using visible light. Fixation on the lateral side was achieved using a plate and screw construct. Access through soft tissue on the medial side was avoided completely. At 8-weeks postop the patient was ambulating on the affected extremity with no varus collapse noted.


